Invisalign® - Beispiel zur Behandlung schiefer Schneidezähne
Invisalign® - Beispiel zur Behandlung schiefer Schneidezähne
Die Patientin mit Zahn-Engstand der Oberkiefer- und Unterkiefer-Schneidezähne kam mit dem Wunsch eines schöneren Lächelns in die Praxis. Sie gab an, dass sie sich durch die Zahnfehlstellung verunsichert fühlt und deshalb auf Fotos immer verspannt aussehen würde. Ein entspanntes, freundliches Lächeln gelang ihr nur selten. Sie arbeitet bei einem Zahnarzt und hatte nach etlichen kieferorthopädischen Beratungen die Therapie-Vorschläge bekommen, entweder die Schneidezähne durch Beschleifen und Veneers kosmetisch zu verbessern oder mit einer Zahnspange von innen (Lingualtechnik) die Zähne geradezurichten. Die Patientin freute, zu erfahren, dass die Behandlung Ihres Zahnengstandes auch ausschließlich mit Invisalign®-Schienen durchgeführt werden kann.

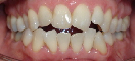
Engstand vor der Invisalign-Therapie

Zahnengstand durch (fast) unsichtbare Zahnspangen korrigiert
Aligner-Behandlungsdauer bei Engstand der Schneidezähne im Unterkiefer und Oberkiefer: 1 Jahr und 5 Monate

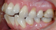
Vorher

Nachher
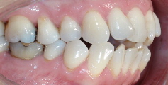
Engstand der Schneidezähne, Befund
Die Patientin hat schon seit Jugendalter einen frontal offenen Biss mit Deckbisstendenz und sehr großen Schneidezähnen, die staffelförmig hintereinander stehen. Ein Backenzahn, Zahn 14, steht zudem im Kreuzbiss, da der Oberkiefer insgesamt etwas zu schmal ist. Durch die Fehlbelastung mit falschen Zahnkontakten hat die Patientin insbesondere im Oberkieferzahnbereich freiliegende Zahnhälse mit keilförmigen Defekten. Diese können bei kalter Flüssigkeitszufuhr oder saurer Nahrung zu sehr schmerzhaften Irritationen an den Zähnen führen. Bedingt durch die extreme Zahnfehlstellung und die für die großen Schneidezähne zu kleine Kieferbasis, zeigen sich multiple parodontale Rezessionen (Parodontose). Bei vielen Zähnen hat sich das Zahnfleisch zurückgezogen.
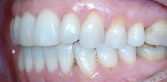
Therapie des Engstandes
Um das Ziehen gesunder Zähne zu vermeiden und sowohl eine ästhetische als auch eine parodontale Verbesserung zu erreichen, wurden die an den Seitenflächen zu großen Schneidezähnen systematisch verjüngt. Mit dem dadurch gewonnenen Platz konnten die schiefen Schneidezähne in den Alveolarknochen (Zahnbett) zurückgeführt werden. Der offene Biss wurde geschlossen. Alle vorher schiefen Schneidezähne konnten in einer ästhetisch ansprechenden Kurve (Lachlinie) optimal gerade gestellt werden. Das Zahnfleisch hat sich erholt. Schwarze interdentale Dreiecke zwischen den schiefen Schneidezähnen sind verschwunden. Der Kreuzbiss an Zahn 14 wurde überstellt.
Die Invisalign®-Patientin war begeistert. In nicht einmal eineinhalb Jahren hat sie ein schönes, attraktives Lächeln erhalten. Dies hatte sie sich schon immer gewünscht. Viele Vorberatungen kamen immer wieder zu dem Ergebnis, dass bei ihr ein Geradestellen der schiefen Schneidezähne nur schwierig möglich sei und Zahnextraktionen (Zähne ziehen) unvermeidlich wären. Sie war umso mehr erfreut, dass mit einer solch komfortablen, nicht schmerzhaften Therapie mit (fast) unsichtbaren Zahnspangen ihr so sehr gewünschtes Ziel, die schiefen Schneidezähne zu korrigieren, erreicht werden konnte.
Engstand der schiefen Schneidezähne vor der Invisalign®-Behandlung
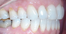
Engstand nach Aligne-Therapie
Übersicht einzelner Patientenbeispiele verschiedener Zahn- und Kieferfehlstellungen.
