Unterkiefer-Chirurgie mit Invisalign® Behandlung
Die Unterkiefer-OP
Wenn die richtige Positionierung des Unterkiefers und des Oberkiefers zueinander alleine durch Kieferorthopädie nicht mehr möglich ist, wird die Kieferchirurgie begleitend zur kieferorthopädischen Behandlung eingesetzt. Ob wie hier, bei einer Unterkiefer-OP, Kieferchirurgie notwendig ist, wird durch das Ausmaß der Kieferfehlstellung bestimmt. Meist ist eine kieferchirurgische Intervention erforderlich, wenn eine Kieferfehlstellung von über einem Zentimeter vorliegt. Ob eine kieferchirurgische Maßnahme durchgeführt werden muss, ist auch vom Alter des Patienten abhängig. Wenn das Kieferwachstum, wie bei erwachsenen Patienten, bereits abgeschlossen ist,ist eine begeleitende Kieferchirurgie zur kieferorthopädischen Behandlung häufigier indiziert. Weiterhin spielen genetische oder individuelle Fehlentwicklungen der Kiefer sowie Vererbungsmerkmale eine große Rolle, ob ein kieferchirurgischer Eingriff begleitend zur kieferorthopädischen Behandlung notwendig ist.
Invisalign®-Behandlung mit Unterkiefer-Chirurgischen Eingriff

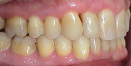
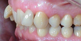
Vor Unterkiefer-OP

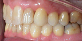
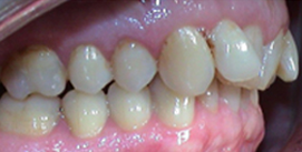
Nach Unterkiefer-Chirurgie und Zahnorrektur

Unterkiefer-Chirurgie vorher/nachher

Vorher

Nachher
Unterkiefer-OP Behandlungsablauf
Die unteren Abbildungen zeigen die Seitenansicht, vor die kieferorthopädische Therapie mit Invisalign®-Kieferchirurgie. Der Patient hat einen zu tiefen Biss, zu steil stehende obere Schneidezähne, einen Engstand in der Front und eine Unterkieferrücklage.
Nach Unterkiefer Chirurgie
Die unteren Abbildungen zeigen die Seitenansicht, vor der kieferorthopädische Therapie mit Invisalign®-Alignertherapie. Der Patient hat einen zu tiefen Biss, zu steil stehende obere Schneidezähne, einen Engstand in der Front und eine Unterkieferrücklage.
Übersicht einzelner Patientenbeispiele verschiedener Zahn- und Kieferfehlstellungen.
