Kieferkorrektur Oberkiefer-Chirurgie mit Invisalign® Behandlung
Um das Kieferwachstum erheblich zu fördern, benötigt man zum Teil nur sehr kleine Anreize. Diese Wachstumsreize sollte man jedoch sehr gut im Griff behalten, da sie sonst auch zu gravierenden Nachteilen für den Patienten führen können, wie im Beispiel dieser Patientin sehr gut zu sehen ist. Um die Disproportion hier wieder harmonisch auszugleichen, hilft nur noch eine Kieferkorrektur mit chirurgischem Eingriff. Auch diese junge Patientin wurde, wie die meisten Patienten meiner Praxis, vor und nach der chirurgischen Kieferkorrektur ausschließlich mit Invisalign®-Schienen behandelt. Vor unserem Behandlungsbeginn wurde die feste Zahnspange mit den Brackets der Vorbehandlerin sofort entfernt und eine reine Invisalign®-Therapie begonnen.
Bilder zur Kieferkorrektur

Vor Beginn der Kieferkorrektur

Nach erfolgreicher Kieferkorrektur

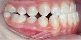
Kieferkorrektur vorher/nachher

Vorher

Nachher
Kieferkorrektur-Therapie mit Invisalign®
In einer vorher behandelnden Praxis hatte die Patientin im Alter von 9-10 Jahren eine Apparatur zur Gaumennahterweiterung (Hyrax) und eine herausnehmbare sowie eine feste Zahnspange erhalten. Der Mittelteil des Gesichtes wirkte etwas zu kurz. Während der Vorbehandlung hat sich aus der vorher nur leicht progenen Situation eine echte Progenie entwickelt. Der Auslöser einer solch ungünstigen Entwicklung könnte die genetische Dysposition sein. Wird ein seitlicher Kreuzbiss behandelt, bewirkt das regelmäßig eine Verkürzung des Zahnbogens im Oberkiefer und kann progenen Verzahnung führen. Ebenfalls einen Kieferwachstumsschub initiieren kann das Anbringen von orthodontischen Druckfedern im Unterkiefer.
Invisalign®-Vorher-Nachher Bilder der Kieferkorrektur



Kieferkorrektur-Methode mit Invisalign® - die Therapieschritte
- Die Zahnbögen werden mit der Invisalign®-Therapie ausgeformt
- Chirurgischer Eingriff (Intervention – Relativieren der Kiefer durch den Kieferchirurgen)
- Settlingphase (Zur Ausheilung des kieferchirurgischen Eingriffs wird eine 2- bis 3-monatige Pause ohne kieferorthopädische Hilfsmittel oder Gummizüge eingelegt.)
- Case Refinement (2. Behandlungsphase mit Invisalign®, die Feineinstellung der Okklusion)
- Retentionsphase (Stabilisation des Behandlungsergebnisses mit lingualem Permanentretainer (LPR) und möglichst lebenslanger Retention)
Invisalign®-Therapie vor der Kieferkorrektur
Nach Invisalign®- und Kieferkorrektur
Übersicht einzelner Patientenbeispiele verschiedener Zahn- und Kieferfehlstellungen.
