Gesichtschirurgie mit Invisalign® Vorbehandlung
Gesichtschirurgie - Kinnplastik - Kieferoperation
Die Beweggründe, sich einer gesichtschirurgischen Kieferoperation zu unterziehen sind sowohl funktionelle Verbesserungen der Verzahnung als auch eine Erwartung zur ästhetischen und optischen Verschönerung des Gesichtes und Profils.
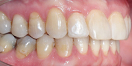
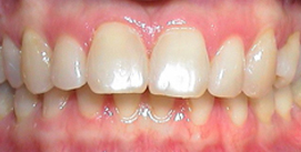
Eine deutliche Kinndominanz und das sehr flache Gesichtsprofil erforderten hier eine besonders präzise Durchführung der Operationsplanung. Um harmonische Gesichtszüge zu erhalten, wurde neben der Hebung der Mittelgesichtshöhe und der funktionellen Verbesserung der Bisshebung noch eine gezielte reduzierende Kinnplastik angeschlossen. Besonders der eingesunkene tiefe Biss, der die unteren Schneidezähne hinter die oberen Schneidezähne in den Gaumen beißen ließ, machte der Invisalign®-Patientin Probleme. Zur Meisterung des Problemes wurde sowohl vom Kieferchirurgen als auch vom Invisalign®-Experten eine kombinierte Invisalign®-Therapie vorgeschlagen, mit Gesichtschirurgie.
Bilder zur Gesichtschirurgie mit Alignertherapie

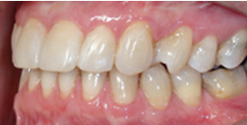
vor Invisalign®-Gesichtschirurgie

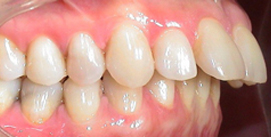
Gesichtschirurgie nachher

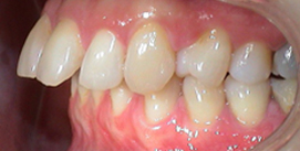
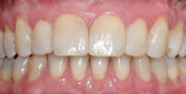
Kieferkorrektur vorher/nachher

Vorher

Nachher
Patientin mit Unterkiefer-Rücklage KI II 1 Bimaxilläre Chirurgie
Nachdem bereits bei ihrem elfjährigen Sohn eine Invisalign®-Teen-Behandlung durchgeführt wurde, wünschte sich nun auch die Mutter eine Kieferkorrektur und Verbesserung der Zahnfehlstellung. Aufgrund einer fast 10 mm betragenden sagittalen Stufe (negativer Überbiss) und einer zu engen Mittelgesichtshöhe plante man eine bimaxilliäre Kieferoperation und eine mediocaudale Schwenkung des zu weit vorne liegenden Oberkiefers. Dieses Vorgehen führt nicht nur zu einer verbesserten Gesichtsästhetik, sondern hat den weiteren Vorteil, dass der zu weit hinten stehende Unterkiefer mit der bevorstehenden OP nicht ganz so weit nach vorne verlagert werden musste. Die Gefahr eines muskulär induzierten Rezidivs kann so gemindert oder sogar vermieden werden.
Bei der Invisalign®-Patientin mit Unterkieferrücklage war es trotzdem notwendig, den deutlich nach anterior, also nach vorne verlagerten Unterkiefer mit einer Kinnplastik zu verkürzen. Im Oberkiefer wurden bis zur gesichtschirurgischen Intervention 21 und im Unterkiefer 23 Invisalign®-Aligner benötigt.
Die Unterkiefer Operation mit Umstellungsosteotomie des Unterkiefers nach vorne konnte schon nach einem Jahr Vorbehandlung mit Invisalign® durchgeführt werden.
Bilder vor Gesichtschirurgie der Unterkiefer-Operation
Nach Invisalign®-Vorbehandlung und Gesichtschirurgie und erfolgreicher Kiefer-OP
Übersicht einzelner Patientenbeispiele verschiedener Zahn- und Kieferfehlstellungen.
