Invisalign®-Behandlung bei vorstehenden Unterkiefer

Vorbiss (Progenie) vorher

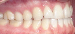
nach Ober-Unterkiefer-Chirurgie
Vorbiss Behandlungsdauer mit Invisalign®-Chirurgie: 1 Jahr und 7 Monate

Vorher

Nachher
Vorbiss Befund
Der Invisalign®-Patient suchte kieferorthopädischen Rat, da er Angst hatte, dass sein Vorbiss schädlich für seine Kiefergelenkfunktion sein könnte. Er befürchtete, dass durch die falsche Stellung des Oberkiefers zum Unterkiefer seine Kiefergelenke degenerieren könnten. Die manuelle Funktionsanalyse (MFA) zeigte neben einer irregulären Seitenabweichung der Kieferöffnung bei der Belastungsprobe der Kiefergelenke in dynamischer Translation nach lateral und dynamischer Kompression deutliche Schmerzen im rechten Kiefergelenk.
Neben einer diskreten Mittelgesichtsdysplasie mit Rücklage des Oberkiefers (Retrognathie) steht der Unterkiefer skelettal in progener Relation im Vorbiss. Aufgrund dieser Kieferfehlstellung beißt der Patient in frontalem und seitlichem Kreuzbiss.
Nach eingehender Aufklärung entschied sich der Patient zu einer kombinierten kieferorthopädisch/kieferchirurgischen Therapie, bei der eine bracketfreie Behandlung ausschließlich mit Invisalign®-Schienen vorgenommen werden sollte.
Bei unserem 35-jährigen Patienten handelte es sich um eine therapierbare kieferorthopädische Zahnfehlstellung mit tiefliegendem Lippenbändchen. Die Prognose war hier sehr gut.

Vergleich Vorbiss vorher/nachher
Vorbiss Therapie
Nach Ausformung beider Kiefer wurde eine kombinierte Dysgnathiechirurgie mit Vorverlagerung und Kaudalschwenkung (Verlängerung des Oberkiefers in der Vertikalen) sowie dezenter Rückverlagerung mit Rotation des Unterkiefers vorgenommen. Ein Einstellen in neutraler Kieferrelation wurde erreicht. Durch die gewissenhafte und präzise Vorbereitung des Kieferchirurgen aus der kieferchirurgischen Praxis Dr. Dr. Kater/Bad Homburg, konnte ein individuell optimales Ergebnis erreicht werden. Dadurch wurden die Kiefergelenke entlastet und die physiologische Atmung konnte erhalten bleiben. Mit 3D-DVT-Röntgendiagnostik und OP-Planung erreichte der Kollege Dr. Davids unter Anwendung der Simplant-Software der Fa. Materialise ein optimales Therapieziel.
Behandlungsbeginn des Vorbisses mit frontalem Kreuzbiss
Nach Behandlung des Vorbisses (Progenie)
Übersicht einzelner Patientenbeispiele, neben der hier gezeigten Vorbiss (Progenie).
