(Fast) unsichtbare Zahnspange von Invisalign® oder medi.ligner® und Implantate
Aligner Therapie zur Versorgung mit Zahnimplantaten
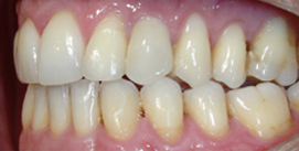
Sind bleibende Schneidezähne nicht angelegt, hat man die Möglichkeit, vorhandene Lücken zu schließen, die Lücken mit Implantaten aufzu-füllen oder mit einer Prothetik zu versorgen. Die beste Lösung ist natürlich der Lückenschluss, der jedoch häufig nur bei Kindern oder Jugendlichen möglich ist. Bei Erwachsenen mit Nichtanlagen befinden sich oftmals noch Milchzähne anstelle der nichtangelegten permanenten Zähne. Im Laufe der Zeit lösen sich die Milchzahnwurzeln auf, die Milchzähne fallen heraus und hinterlassen eine Zahnlücke, die dann prothetisch oder mit Implantaten versorgt werden kann.

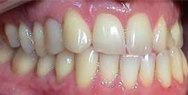
Patient mit frontalen Kreuzbiss

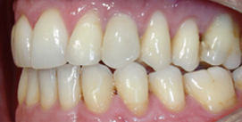
Nach erfolgreicher Zahnkorrektur und implantierten Zahnersatz
Invisalign®-Vorbehandlung 14 Monate bis zur Insertion mit Implantaten

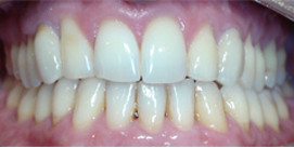
Vorher

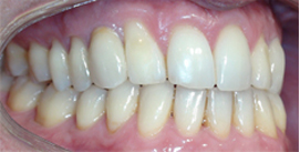
Nachher
Odontoplastik der Eckzahnremodulation
inen Eckzahn zu einem seitlichen Schneidezahn umzugestalten, hat nicht nur den Vorteil eines guten funktionellen und ästhetischen Ergebnisses, es sichert auch den Erhalt des größten Teils der Zahnhartsubstanz. Ein hoher Schmelz-Dentin-Verlust, der für die Versorgung mit Kronen, Brücken nötig wäre, kann mit dieser Methode vermieden werden.
Bei unserem 35-jährigen Patienten handelte es sich um eine therapierbare kieferorthopädische Zahnfehlstellung mit tiefliegendem Lippenbändchen. Die Prognose war hier sehr gut.

Spitzer Eckzahn vor Remodellation zum seitlichen Schneidezahn

Jetzt abgeflachter Eckzahn mit Zahnform eines seitlichen Schneidezahnes nach Remodellation (Odontoplatik)
Implantate bei nicht angelegten Schneidezähnen - Therapie mit Invisalign®
Anamnese
Der Patient hat eine Nichtanlage der oberen seitlichen Schneidezähne. Im Seitenzahnbereich ist die Verzahnung jedoch korrekt. Im Alter von 10-12 Jahren stellten sich die oberen Eckzähne an die Position der seitlichen Schneidezähne. Die Milcheckzähne blieben bis ins Erwachsenenalter im Gebiss. Die Wurzeln der Milchzähne lösen sich im Erwachsenalter auf, sodass sie keinen gesicherten Halt mehr bieten. Als Folge fallen die Zähne aus und hinterlassen eine Zahnlücke. Der hier dargestellte Patient hat einen Milchzahn dann verloren, als er auf einen harten Gegenstand gebissen hat. Es ist dann nur eine Frage der Zeit, bis der andere Milchzahn auch heraus zu fallen droht.
Therapie
Der verloren gegangene rechte obere Milcheckzahn wurde durch einen Kompositanhänger ersetzt. Der verbliebene (persistierende) linke obere Milcheckzahn wurde sofort extrahiert (gezogen), um dem Alveolarknochen vor der Implantation genügend Zeit zur Stabilisation zu lassen.
Je mehr Platz für die Versorgung mit Implantaten in den Seitenzahnbereich bewegt, desto geringer sind eventuell sichtbare, ästhetische Nachteile. Deshalb entschied man sich in diesem Fall, die oberen bleibenden Eckzähne, in der Position der Schneidezähne zu belassen.
Die odontoplastische Remodellierung gibt den ursprünglichen Eckzähnen eine neue ästhetische und physiologische Form, die einem Schneidezahn entspricht. Dieses zahnärztliche Verfahren erfordert sehr viel Erfahrung und Geschick, ermöglicht es aber, ohne den Einsatz von Teilkronen, Kronen oder Veneers die eigene Zahnsubstanz schonend weitgehend zu belassen. Der Schwede Prof. Björn Zachrisson, hat hierzu schon etliche Veröffentlichungen publiziert. Auf den ersten und zweiten Blick lässt sich nicht mehr erkennen, dass es sich um einen Eckzahn handelt, der hier die Aufgabe und Stellung des Schneidezahnes übernommen hat. Nur die etwas gelbe Zahnfarbe des ursprünglichen Eckzahnes ist noch zu sehen. Durch Bleaching kann dieses Manko auch beseitigt werden und wird erhalten schöne weiße Zähne.
Auf der linken Seite erforderte der frontale Kreuzbiss die Extraktion eines unteren seitlichen Schneidezahnes. Mit Anwendung von T-Attachments und Pointics konnte die Lücke ohne aufzufallen geschlossen werden.
Vor der Invisalign®-und Implantat Behandlung
Nach Behandlungsende
ClinCheck, 3D CT Planung und Röntgenbild

Invisalign-Therapieplanung bei Implantatversorgung

Eckzahn-Implantate eingesetzt

Implantat-Planung im CT mit Implantat

Implantate ersetzen Eckzähne, Röntgenbild
Übersicht einzelner Patientenbeispiele verschiedener Zahn- und Kieferfehlstellungen.
