Invisalign® und Frontzahnimplantate
Invisalign®-Therapie ermöglicht den Einsatz von Implantaten

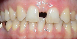
Patientin mit Zahnlücke

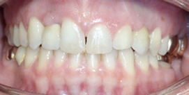
Nach erfolgreicher Korrektur der Zahnfehlstellung mit Implantat

Vorher

Nachher
Während der Erstuntersuchung wurde festgestellt, dass die beiden seitlichen Schneidezähne fehlten, da sie nicht angelegt waren. In den freigewordenen Platz hatte sich der obere linke Milcheckzahn geschoben. Die Wurzel des Milchzahnes hatte sich mit der Zeit jedoch komplett aufgelöst. Es war nur eine Frage der Zeit, wann der Milchzahn auf der linken Seite herausfallen würde. Also musste eine Planung mit Ersatz durch ein Eckzahnimplantat auf der linken Seite erfolgen. Da der rechte Milchschneidezahn schon frühzeitig verloren ging, wanderte der obere rechte Schneidezahn in die nun entstandene Lücke und öffnete eine neue Frontzahnlücke zwischen den beiden mittleren Schneidezähnen. Diese nennt man Diastema mediale.
In der nun folgenden Behandlungsplanung musste also auch die zukünftige Lücke dieses Eckzahnes berücksichtigt werden sowie die Schließung der Frontzahnlücke, die durch die fehlende Zahnanlage auf der rechten Seite entstanden war.
Bei unserem 35-jährigen Patienten handelte es sich um eine therapierbare kieferorthopädische Zahnfehlstellung mit tiefliegendem Lippenbändchen. Die Prognose war hier sehr gut.
Planung der Invisalign®-Therapie mit Frontzahnimplantaten
Der rechte obere Eckzahn konnte an seinem Platz verbleiben. Der rechte obere Schneidezahn musste jedoch zur Mitte hin verschoben werden, damit die Gesichtsmitte gewahrt bleibt. Der zwischen Eckzahn und Frontzahn entstehende Zwischenraum musste so weit geöffnet werden, bis ein Schneidezahnimplantat Platz finden würde. Der linke obere Eckzahn wurde zu einem Schneidezahn umgeformt (Odontoplastik). Kurz vor dem Ersatz der zwei fehlenden Frontzähne durch Implantate wird der links stehende Eckmilchzahn extrahiert und durch ein Eckzahnimplantat ersetzt.
In der nun folgenden Behandlungsplanung musste also auch die zukünftige Lücke dieses Eckzahnes berücksichtigt werden sowie die Schließung der Frontzahnlücke, die durch die fehlende Zahnanlage auf der rechten Seite entstanden war.
Bei unserem 35-jährigen Patienten handelte es sich um eine therapierbare kieferorthopädische Zahnfehlstellung mit tiefliegendem Lippenbändchen. Die Prognose war hier sehr gut.
Frontzahnimplantate - der Therapieverlauf mit der Aligner Zahnspange
Die Parallelverschiebung des rechten Frontzahnes nach links, um die Mittellinienabweichung einzustellen, bereitete erhebliche Schwierigkeiten. Zunächst erfolgte eine ungewollte Kippung des Frontzahnes in die zu schließende Lücke. Mehrere stabilisierende Attachments und ein zweifaches CaseRefinement mussten angebracht werden, um die Therapie zu einem positiven Ergebnis führen zu können. Für die nachfolgende Implantatversorgung konnte so für den seitlichen Schneidezahn ein Platzangebot von 6,53 mm und für den linken Eckzahn von 7,38 mm bereitgestellt werden. Dieser Platz ist ausreichend zur Insertion eines Frontzahnimplantats und eines Eckzahnimplantates.
Die Gesamtbehandlungszeit von der kieferorthopädischen Vorbereitung bis zum erfolgreichen Einsatz der beiden Implantate betrug ein Jahr. Danach konnte sich die Patientin über ihr neues attraktives Lächeln freuen.
In der nun folgenden Behandlungsplanung musste also auch die zukünftige Lücke dieses Eckzahnes berücksichtigt werden sowie die Schließung der Frontzahnlücke, die durch die fehlende Zahnanlage auf der rechten Seite entstanden war.
Bei unserem 35-jährigen Patienten handelte es sich um eine therapierbare kieferorthopädische Zahnfehlstellung mit tiefliegendem Lippenbändchen. Die Prognose war hier sehr gut.
Übersicht einzelner Patientenbeispiele verschiedener Zahn- und Kieferfehlstellungen.
