medi.ligner® Therapie
Wir entwickeln und fertigen zwei Aligner-Produktlinien: medi.ligner® für komplexe medizinische Fälle sowie Bioligner® für unkomplizierte Zahnkorrekturen. Mit diesen beiden Varianten können wir individuell auf jeden Behandlungsfall eingehen und optimale Behandlungsergebnisse erzielen.
Behandlung mit medi.ligner®
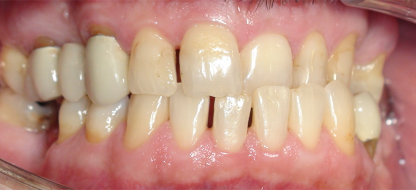
Insbesondere bei komplexen Zahnfehlstellungen bietet die Aligner-Therapie häufig Vorteile gegenüber herkömmlichen festen Zahnspangen, da die Zähne während der Bewegung besser geschützt sind – wie im folgenden Fall veranschaulicht: Ein Patient mittleren Alters litt lebenslang unter einer Fehlstellung seiner Frontzähne sowie eines Eckzahns, die zu einem falschen Biss führten. Sein Wunsch war es, sein Lächeln ästhetisch zu verbessern. Zudem klagte er über Beschwerden im Bereich der Kiefergelenke. Die Untersuchung ergab einen frontalen Kreuzbiss, der ein normales Zubeißen verhinderte.

Vor der medi.ligner® Behandlung

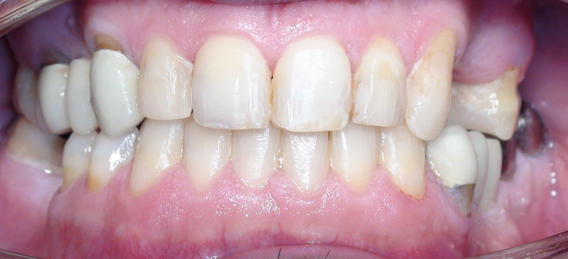
Nach der medi.ligner® Behandlung
Mit dem medi.ligner®-Konzept lassen sich nicht nur komplexe Zahnfehlstellungen korrigieren, sondern auch damit verbundene Kiefergelenksfehlstellungen gezielt behandeln. Dies wird ermöglicht, da medi.ligner® die Zähne kiefergelenksgerecht in eine gesunde, eugnathische Position führt.
Fallbeispiele von Alignerbehandlungen
